
¿POR QUÉ SE PUEDE MORIR POR UN EXCESO DE AGUA Y FALTA DE SALES?
Por desgracia no es la primera vez que no enteramos de la muerte de un corredor por una falta de sodio entre otros minerales principales debido a una excesaiba ingesta de agua y una mínima aportación de sales. Sólo hay que remontarnos al…

¿CÓMO ESTABLECER OBJETIVOS DURANTE UNA TEMPORADA PARA CONSEGUIR EL ÉXITO DEPORTIVO?
Para poder afrontar una correcta temporada es fundamental el establecimiento de unos objetivos alcanzables, de esta manera se puede dirigir la atención y dirección de los individuos, canalizando la energía del deportista y prolongando el…

EL PAPEL DEL CALCIO EN EL ENTRENAMIENTO DEL TRIATLÓN, CICLISMO,...
Actualmente vivimos una persecución por algunos medios de los lacteos. Actualmente parece que tomar lacteos es poco mas que envenenarnos. Bueno... habrá opiniones para todo, lo que quiero mostraros en este post es la importancia que tiene…

TRES NUEVAS VICTORIAS (UNA INTERNACIONAL), PODIUMS EN AUTONÓMICOS... PARA LOS DEPORTISTAS DESABI
Un fin de semana mas donde nuestros deportistas no dejan de bajarse del podium. Esta vez las estrellas han sido en triatlón Juan Carlos Azorín que ha vencido en el Triatlón Cros de Guadalest (Alicante) y en BTT Samuel Jover que ha vencido…

Inhalación de salbutamol y rendimiento en ciclismo de resistencia en atletas no asmáticos
Os dejo traducido un artículo que me parece interesante sobre el uso de salbutanol con el fin de mejorar el rendimiento en deportistas no asmáticos. Por lo que se puede ver no está comprobado que se produzca un aumento del rendimiento, contrario…

DESABI SUMA UN NUEVO CTO AUTÓMICO Y ALGÚN RESULTADO MÁS
Este fin de semana hemos vuelto a sumar un nuevo Cto Autonómico, en esta ocasión de la mano del Biker Asturiano Jesús Manuel Toyos que ha ganado el Cto Autonómico de maratón. Además se han conseguido otros grades resultados como:
Jesús…

Correr "Pisando" con el Talón o con el Metatarso. ¿Riesgo de Lesión y Economia de Carrera?
Si analizamos la pisada de un corredor y nos centramos en la forma en la que el pie de ese corredor hace contacto con el suelo, básicamente nos podemos encontrar con 2 tipos de pisada. La que se realiza "entrando con el talón" o la que se…

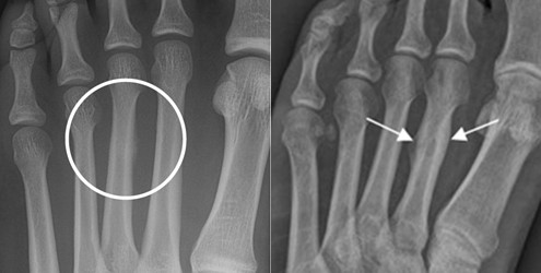
¿QUÉ ES UNA FRACTURA POR ESTRÉS CAUSADA POR EL ENTRENAMIENTO?
Ayer pude leer en la web www.triatlonchannel.es que el triatleta internacional Vicente Hernández ha sufrido una fratura por estrés como podéis ver en este enlace http://www.triatlonchannel.com/2015/05/25/lesion-importante-de-vicente-hernandez/ …

IMPRESIONANTE FIN DE SEMANA PARA LOS CHICOS DESABI CON TRES VICTORIAS Y SEIS PODIUMS
Bueno, bueno, bueno... pasan las semanas y personalmente no puedo estar mas orgulloso de los deportistas que confian en mí metodología de entrenamiento y del gran esfuerzo que hacen día tras día, semana tras semana, meses tras mes,... para…

¿SABES CUÁLES SON LOS 10 ERRORES MÁS COMUNES QUE SE COMENTE EN EL ENTRENAMENTO DEL TRIATLÓN?
El trabajo con triatletas es una experiencia que trae muchas recompensas. Los triatletas son personas comprometidas, entusiastas, orientadas al trabajo y con metas definidas, a las cuales es un placer entrenar. A lo largo de los últimos diez…

DOS NUEVAS VICTORIAS PARA LOS DEPORTISTAS DESABI
Este finde ha sido un poco complicado para algunos de nuestros deportistas por la suspensión de dos pruebas, por un lado el Ironcat y por otro la prueba de BTT de Cofrentes (Alicante). No obstante los que ha podido competir ha dado lo mejor…

¿QUÉ UTILIDAD TIENE EL PSICÓLOGO DEPORTIVO?
Debido a la actual falta de claridad sobre el alcance y función de la Psicología del Deporte, no debe sorprendernos la general confusión con respecto al rol que desempeña el psicólogo. Además surge otro problema, la aparición del coach…

Comentarios recientes